貨號:


|
貨號
|
產品名稱
|
規格(張)
|
|
30007
|
脂肪細胞圖像分析
|
單張,或250張
|
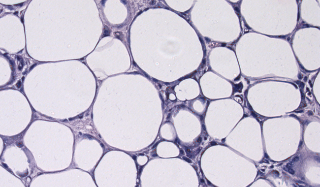
脂肪細胞在能量和葡萄糖代謝中起著重要的作用,既作為能量儲存單位,又充當這些過程的內分泌調節器。作為脂肪細胞大小的主要調制器,脂肪細胞橫截面面積的測量已被廣泛用于代謝相關疾病,如肥胖,糖尿病和各種心血管疾病提供準確和可重復的表征。通過顯微鏡直接測量脂肪細胞的大小被廣泛使用,但這是個非常費時的過程。

ICP備案號:
滬ICP備15057650號-1
滬公網安備31011202005471
雷萌生物科技(上海)有限公司 保留所有版權.